13 年
手机商铺
公司新闻/正文
1047 人阅读发布时间:2021-03-22 10:18
发表期刊:Food & Function
发表时间:2020年8月19日
影响因子:4.171(中科院分区一区,Top期刊)
合作客户:江南大学
百趣生物提供服务:Label free非标记定量蛋白质组学
脱氧雪腐镰刀菌烯醇(DON)是食物链中常见的真菌毒素之一,广泛分布于谷物及受污染的食品和饲料中。有较多证据表明其对肠道稳态的毒性有影响,特别是由紧密连接(TJ)、黏附连接(AJ)、缝隙连接和细胞桥粒维持的肠道屏障完整性。山nai酚(KAM)是一种广泛存在于水果和蔬菜中的天然多酚抗氧化剂,在预实验中发现KAM是防止DON暴露时Caco-2细胞单层屏障功能失调的最有效试剂。于是采用蛋白质组学方法研究了 KAM预处理对Caco-2细胞模型中由DON诱导的屏障功能障碍的保护作用,从而为降低DON毒性效应的策略的发展提供理论基础。
Caco-2细胞:对照组,KAM组,DON组,KAM预处理组(KAM+DON组)

1. KAM预处理可改善DON暴露引起的屏障功能障碍
为了寻找预防或干预DON诱导的细胞屏障功能障碍的最佳候选化合物,作者选择了橙皮素、槲皮素、山nai酚、白藜芦醇、小檗碱、儿茶素、柚皮素和丁suan钠等植物化学物质,比较它们对抗DON诱导的屏障功能障碍的效果。结果发现在DON暴露时,KAM是唯1一个经TEER评估对保护细胞屏障功能有显著作用的物质。与对照组相比,DON处理分别导致TEER和FD-4的通量显著降低和增加,而经KAM预处理组(KAM + DON)处理后则有明显改善,表明KAM预处理有效地改善了DON对Caco-2细胞单层屏障功能的损伤,KAM对DON诱导的细胞屏障功能障碍起到保护作用。应用Label free定量蛋白组来全面了解KAM260和DON对细胞屏障功能影响的潜在机制。

2. 蛋白组学研究
与对照组相比,KAM组、DON组、KAM预处理组分别鉴定出670个、1295个和1052个差异表达蛋白(DEPs)(图2),表明KAM和DON处理均显著影响了Caco-2细胞中蛋白的表达。经KAM预处理后,差异表达的下调和上调蛋白均显著低于DON组,说明DON影响的蛋白的表达在KAM预处理后被最小化或补偿,这表明KAM对Caco-2细胞有潜在的有益作用,尽管DON仍然在KAM预处理组中起主导作用。

图2 各对比组火山图和DEPs统计
GO分析显示三组DEPs均显著(p<0.05)富集于细胞黏附分子结合(MF)、细胞连接(CC)和细胞连接组装(BP),表明KAM和DON均显著影响细胞屏障功能(图3)。KEGG分析显示紧密连接、黏附连接和ECM相关通路在不同处理组中均富集,这证实了DON和KAM对细胞连接的影响。特别值得注意的是DON显著影响了黏附连接的代谢通路,表明黏附连接(包括细胞-细胞粘附和细胞-基质粘附)也是细胞连接的完整性所必需的(图4)。进一步分析KEGG富集的两条代谢通路(紧密连接和黏附连接通路),KAM预处理通过PKA和MAPK/ERK通路影响紧密连接和黏附连接蛋白的表达和组装,从而改善对Caco-2细胞单层的屏障功能(图5)。

图3 GO富集分析

图4 KEGG分析

图5 紧密连接(A)和黏附连接(B)代谢通路及相关蛋白表达(以KAM + DON Vs DON为例)
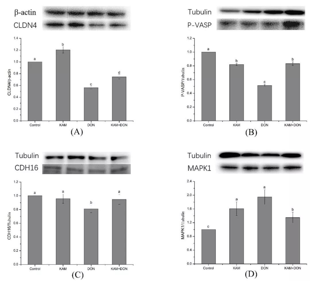
3.WB验证
为了验证蛋白质组学数据的准确性,作者对参与紧密连接和黏附连接通路的相关蛋白进行了western blot分析。结果表明,KAM预处理显著提高了受DON不利影响的CLDN4,CDH16和 MAPK1蛋白质的表达,与定量蛋白质组学的结果一致。此外,P-VASP分析显示,CON显著降低P-VASP表达,而KAM预处理组则显著增加其表达水平,表明 KAM预处理通过PKA提高VASP磷酸化水平起到保护作用。

图6 WB分析
KAM预处理可通过PKA和MAPK/ERK通路改善DON引起的肠道屏障功能障碍。基于生物活性植物化学物质的营养方法以提高机体的免疫力可能是对抗真菌毒素对肠屏障功能的不利影响的有效策略。
百趣生物为本研究提供了Label free非标记定量蛋白质组学检测分析服务。
Label free非标记定量蛋白质组学是一种不依赖于同位素标记的蛋白质定量技术,该技术通过液质联用对蛋白质酶解肽段进行检测,分析大规模鉴定蛋白质时所产生的质谱数据,对被检测到的离子峰强度进行积分,以积分面积进行相对定量。
Label free非标记定量蛋白质组学技术优势: