上海阿趣生物科技有限公司

13

手机商铺

qrcode
商家活跃:
产品热度:
  • NaN
  • 0.20000000000000018
  • 1.2000000000000002
  • 0.20000000000000018
  • 3.2
文献支持
短链脂肪酸高通量靶标代谢组学
询价

上海阿趣生物科技有限公司

入驻年限:13

  • 联系人:

    官方电话

  • 所在地区:

    上海

  • 业务范围:

    技术服务、耗材、实验室仪器 / 设备

  • 经营模式:

    代理商 生产厂商

在线沟通

公司新闻/正文

合作文章 | 人体“无声杀手”——慢性肾病的延缓方法有了!

449 人阅读发布时间:2022-06-22 13:15

新闻图片1

ef="https://book.yunzhan365.com/jtuc/pdhr/mobile/index.html">文章标题:Metabolomics analysis of human plasma reveals decreased production of trimethylamine N-oxide retards the progression of chronic kidney disease

发表期刊:British Journal of Pharmacology

发表时间:2022.1

影响因子:8.739

合作客户:上海市第十人民医院、重庆医科大学

百趣生物提供服务:非靶代谢组学

 

研究背景

慢性肾脏病(CKD)是一个全球性的公共卫生问题,也是导致死亡的主要原因之一。然而,CKD的发病机制和干预方法尚不完全清楚。因此,一些创新的组学技术被用来研究CKD的发病机制和可能的治疗靶点,包括蛋白质组学和代谢组学,以减缓CKD的进展。

 

结果和讨论

01.人血浆的代谢组学分析揭示了健康组和尿毒症患者的潜在标志物(PM)

由30名尿毒症患者和30名健康组组成,进行代谢组学分析。为了检验数据的质量,我们首先分析了肌酐质量强度(Cr)与临床试验中肌酐血浆浓度之间的相关性。如图1a、b所示,在阳性模式(图1a)和阴性模式(图1b)中,肌酐强度的对数值与血浆肌酐的对数水平呈良好的线性相关(两种模式中的R值均大于0.9)。

新闻图片2 图1. 基于LC-MS/MS的非靶向代谢组学数据的质量评估

所有组中大多数代谢物的偏差均小于标准偏差的三倍。然而,在所有组中,所有处于正模式和负模式的代谢物的偏差均低于标准偏差的六倍。因此,对样本和质量控制进行无监督主成分分析。然后,对处理后的数据进行监督正交偏最小二乘判别分析。用二维得分图建立一个预测成分和一个正交成分模型,使用方法中描述的标准,确定了18个潜在标记物(表3),其中尿毒症患者血浆中只有一个潜在标记物减少。表中也显示了这些潜在标记。

新闻图片3 表3. 健康对照组和CKD患者不同阶段潜在标志物的血浆浓度

 

02.潜在标志物的相关分析确定TMAO是与CKD进展相关的标志物

对潜在标记物进行定量验证,N-乙酰丙氨酸、D-山梨醇和L-焦谷氨酸被排除在进一步的分析之外。为了确定CKD进展最有希望的标志物,我们对潜在标志物的血浆水平与血浆肌酐和eGFR进行了相关分析。与血浆肌酐呈正相关,与eGFR呈负相关,相关系数大于0.79(表4)。此外,血浆TMAO与血浆肌酐和eGFR的回归分析表明,血浆TMAO与肌酐和eGFR密切相关,相关系数均大于0.8(图3)。

新闻图片4 表4. 血浆电位标志物与血浆Cr和eGFR的相关性 新闻图片5 图2. 血浆TMAO水平与血浆肌酐TMAO水平相关性图(n=195)

03.TMAO抑制细胞活性并上调纤维化相关蛋白

为了测试TMAO对肾脏的影响,我们首先测试了TMAO对HK-2细胞的影响。用TMAO处理细胞24小时后,细胞活力略有改变(图4A)。然而,当TMAO浓度小于1.5μM时,将细胞与TMAO孵育48小时可显著降低细胞活力,且呈剂量相关。当TMAO浓度大于1.5μM时,细胞活力似乎达到一个等级(图4B)。此外,用TMAO处理细胞48小时后,α-平滑肌肌动蛋白(α-SMA)的蛋白表达明显增加(图4C,d),而TGF-β、III型胶原(COL3A1)和纤维连接蛋白的蛋白水平仅略有改变。

新闻图片6 图3. TMAO通过促进肾纤维化在体外和小鼠体内引起肾损伤

04.TMAO在体内引起肾损伤并上调纤维化相关蛋白

给小鼠喂食TMAO后,其体重略有变化,但在视觉上显著降低了肾脏重量(图4f,g)和肾脏与体重的比率(图4h)。相比之下,两组小鼠的心脏质量和心体质量比均无显著变化。给小鼠喂食TMAO可显著提高TMAO(图4i)和肌酐(图4j)的血浆水平。此外,给小鼠提供TMAO可增加α-Sma蛋白的肾脏表达(图4K,l)。

新闻图片7 图4. TMAO通过促进肾纤维化在体外和小鼠体内引起肾损伤。

05.抑制TMAO生成减轻腺嘌呤诱导的体内肾损伤

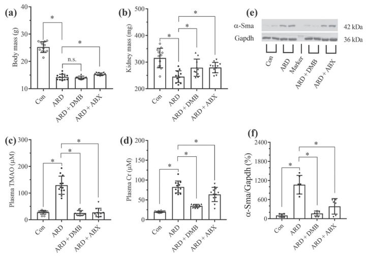
治疗前,四组小鼠的体重略有不同。与对照饮食相比,ARD饮食的消耗量显著减少。用ARD喂养小鼠可显著降低小鼠体重(图5A)和肾脏重量(图4B)。用抗生素鸡尾酒(ABX)治疗小鼠可减轻ARD诱导的小鼠体重减轻(图5A)。DMB或ABX治疗可减轻ARD引起的肾重量减少(图5b)。ARD喂养显著提高了血浆TMAO水平,而ABX或DMB处理显著降低了血浆TMAO水平(图5c)。正如预期的那样,ARD喂养显著提高了血浆肌酐水平,ABX或DMB治疗显著阻断了这一效应(图5d)。此外,ARD喂养增加了α-Sma的蛋白表达,而ABX或DMB处理会减弱α-Sma的表达(图5e,f)。相比之下,ABX或DMB治疗均未显著逆转ARD诱导的心脏质量下降。

新闻图片8 图5. TMAO是减缓小鼠模型肾功能不全的治疗靶点

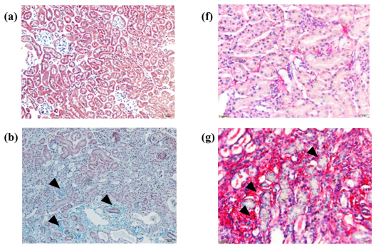
组织学分析表明,ARD给药导致视觉肾纤维化(图6b,fand S4B),而DMB(图6c)或ABX治疗(图6d)缓解ARD诱导的肾纤维化。图6e和图6j总结了半定量结果。此外,在偏振光显微镜下观察接受ARD的小鼠肾组织的天狼星红染色导致弱折射和浅红色,表明本研究中主要的胶原沉积可能是II型胶原。

新闻图片9 新闻图片10 图6. 用3,3-二甲基1-丁醇(DMB)或抗生素混合物(ABX)治疗可减轻富含腺嘌呤的饮食(ARD)诱导的肾纤维化

 

结论

在第一队列中发现的18个潜在标记物中,氧化三甲.胺(TMAO)被确定为一个有希望的标记物,并且它与第二队列中CKD患者的肾功能最佳相关。TMAO处理HK-2细胞后,细胞活力降低,α-平滑肌肌动蛋白表达上调。在小鼠中,含有TMAO的饮食减少了肾脏重量,增加了α-平滑肌肌动蛋白的蛋白表达。此外,通过使用3,3-二甲基-1-丁醇抑制TMAO的生物合成途径或使用抗生素混合物破坏肠道微生物群功能来控制TMAO的产生,可以减轻CKD小鼠模型的肾损伤。结论和意义:本次研究数据表明,减少TMAO的产生可能是一种新的策略,可以减轻CKD肾损伤的进展。

文献下载链接:

https://pan.baidu.com/s/1qDvA3YGXS1gUwLAb7yk5XA

提取码:0000

上一篇

干货分享 | 请叫我“热图”君

下一篇

文献分享 | 孕妇妊娠期营养摄入与自发性早产关联研究

更多资讯

我的询价