13 年
手机商铺
公司新闻/正文
1126 人阅读发布时间:2023-10-31 16:33

文章标题:Targeting phenylpyruvate restrains excessive NLRP3 inflammasome activation and pathological inflammation in diabetic wound healing
发表期刊:Cell Reports Medicine
影响因子:14.3
作者单位:中山大学附属第一医院
百趣提供服务:MetPro-Ⅱ代谢物与蛋白相互作用
研究简介
糖尿病创面是常见的糖尿病并发症之一,在糖尿病条件下,创面持续存在的炎症反应导致伤口难以治愈。然而,其中的机制尚不清晰。本文结合代谢组学和Metpro代谢物-蛋白互作组学分析,发现在糖尿病足溃疡中存在显著的苯*丙*酮酸积累,且苯*丙*酮酸可以通过结合和抑制棕榈酰蛋白硫酯酶1(Palmitoyl-protein thioesterase 1, PPT1)活性影响巨噬细胞的活化。该研究提出了一种通过靶向苯*丙*酮酸来预防糖尿病伤口中过度炎症反应的潜在策略。
技术路线

研究结果
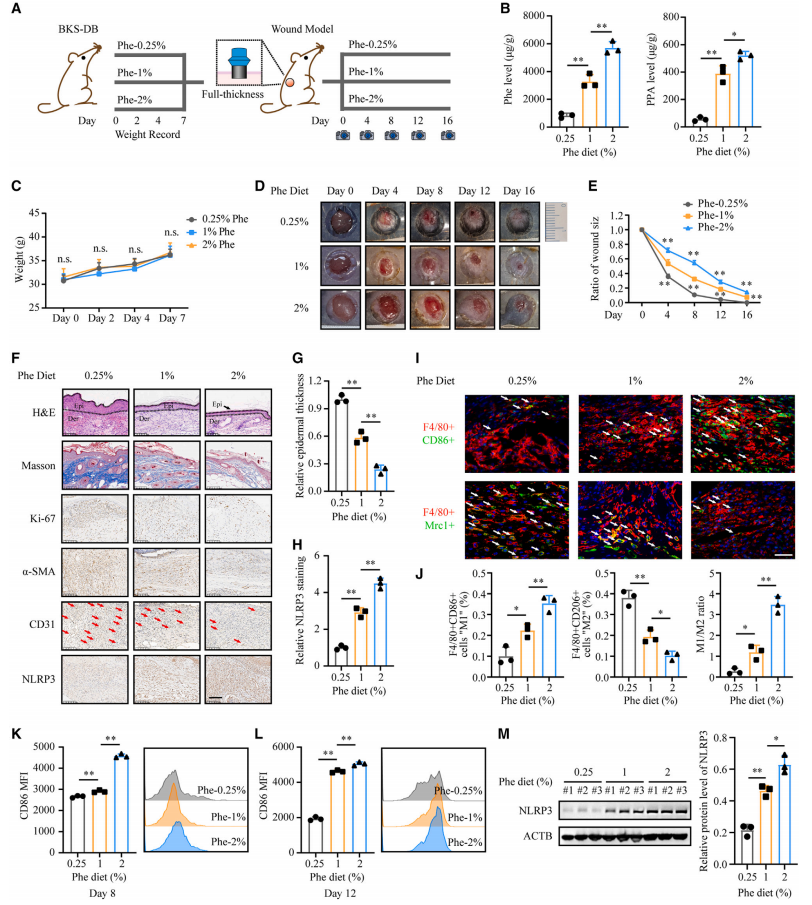
1. 糖尿病足溃疡中存在显著的苯*丙*酮酸积累
研究使用代谢组学分析鉴别糖尿病足部溃疡和非糖尿病足部溃疡之间的代谢差异,揭示了糖尿病足部溃疡伤口中苯*丙*酮酸的显著积聚,而且其与炎性蛋白NLRP3的水平呈正相关。进一步的实验表明,苯丙氨酸会对创伤愈合产生一系列负面影响,包括延迟愈合、组织结构变化、巨噬细胞极化失衡和炎症增加。而通过限制饮食中苯丙氨酸含量以减少苯*丙*酮酸的摄入,则可以缓解不受控制的炎症反应(图1)。

图1. 限制苯丙氨酸的摄入可减少苯*丙*酮酸的积累,促进糖尿病创面愈合
2. PPT1是苯*丙*酮酸的真正靶标
为了直接确定苯*丙*酮酸调节巨噬细胞表型的分子机制,本研究采用上海百趣生物提供的MetPro-Ⅱ代谢物与蛋白相互作用技术(MetPro-Ⅱ代谢物与蛋白相互作用——简单高效的发现与小分子代谢物互作的结合蛋白,并进一步识别潜在的药物靶点。助力于加速创新药物的开发进程、生物标志物的发现,为疾病治疗提供更多可能性),寻找与苯*丙*酮酸结合的细胞蛋白(图2 A)。筛选出一系列蛋白质,其中193个蛋白质的丰度发生了显著变化。进一步的生物信息学分析发现,这些蛋白质大多定位于细胞质,并且富集在溶酶体通路中(图2 B、C)。进一步研究发现,在此通路中的三个显著蛋白质中,只有PPT1的敲低可以显著增加NLRP3蛋白质水平,而其他蛋白质的敲低对NLRP3的表达没有影响,提示PPT1蛋白可能是介导苯*丙*酮酸对巨噬细胞极化影响的潜在靶点。
为了验证苯*丙*酮酸与PPT1的结合,进行了热转移实验。结果表明苯*丙*酮酸会显著改变PPT1蛋白的稳定性并与其结合(图2 F)。通过分子对接模拟,确定了苯*丙*酮酸与PPT1的结合位点。此外,通过转染突变体质粒,发现突变体可逆转苯*丙*酮酸引起的NLRP3蛋白表达增加,而野生型没有这种效应。综上所述,苯*丙*酮酸结合并抑制PPT1蛋白活性,从而介导苯*丙*酮酸诱导的NLRP3表达上调。

图2. 利用LiP-SMap鉴定巨噬细胞中**** 酸的潜在靶点
3. 苯*丙*酮酸通过与PPT1蛋白结合调节NLRP3棕榈酰化
PPT1作为一种硫酯酶,可以从S-酰化蛋白上去除棕榈酸,这对于棕榈酰化的动态调控至关重要。为了探究棕榈酰化对NLRP3的作用,研究通过在线软件CSS-Palm对NLRP3进行预测,发现NLRP3上存在多个高度保守的棕榈酰化位点。通过BMDMs中的酰基-生物素交换(Acyl-biotin exchange assay,ABE)实验,证实了NLRP3被棕榈酰化(图3 B)。棕榈酰化位点的预测分析,确定了NLRP3中的C6作为主要的棕榈酰化位点。进一步的实验发现,苯*丙*酮酸处理可以增加NLRP3的棕榈酰化水平。通过转染突变体质粒,证明了Ppt1突变体可以逆转苯*丙*酮酸诱导的NLRP3棕榈酰化增加,而野生型无法实现这种效果。同时,使用棕榈酰化阻断剂2BP,发现苯*丙*酮酸处理无法增加NLRP3的表达水平。总的来说,苯*丙*酮酸可以通过结合和抑制Ppt1活性来增加NLRP3的棕榈酰化。

图3. 通过结合Ppt1蛋白上调NLRP3棕榈酰化
4. 苯*丙*酮酸稳定NLRP3蛋白,促进炎性体激活,从而引发促炎巨噬细胞表型
根据先前的研究,s-棕榈酰化对于NOD2和程序性死亡配体1 (PD-L1)等免疫效应蛋白的稳定性至关重要。因此,本文探究了苯*丙*酮酸诱导NLRP3棕榈酰化的增加是否会影响其蛋白稳定性。实验证明,苯*丙*酮酸处理可以显著增强NLRP3的蛋白稳定性,而突变型Ppt1质粒的转染则削弱了其稳定性(图4 A)。除此之外,研究团队还探究了NLRP3的降解途径,发现苯*丙*酮酸处理引起的NLRP3降解可以通过自噬和自噬溶酶体的抑制剂被阻断,而蛋白酶体的抑制剂则无法阻断,这表明苯*丙*酮酸处理防止了NLRP3的自噬降解(图4 B)。
考虑到s-棕榈酰化也对蛋白-蛋白相互作用具有调节作用,本文还观察到****处理增强了NLRP3和ASC之间的相互作用(图4 D)。此外,苯*丙*酮酸处理后ASC斑点的形成明显增加,表明苯*丙*酮酸促进了NLRP3炎症小体的活化(图4 E)。另外,M1标记基因Nos、Tnf和Il6在转染Ppt1 MUT质粒后下调,而转染WT质粒后则没有下调(图3 J-L),说明苯*丙*酮酸通过与Ppt1的关联方式促进了巨噬细胞的促炎表型。同时,当使用MCC950(一种NLRP3抑制剂)或siRNA抑制BMDMs中的NLRP3时,发现苯*丙*酮酸无法上调M1特征基因的表达,进一步证明苯*丙*酮酸通过NLRP3炎症小体促进巨噬细胞的炎症表型。

图4. 不同营养配比下表达的蛋白质
5. 苯*丙*酮酸以CD36依赖的方式进入巨噬细胞
研究鉴定出两种清除率受体——CD36和LRP1,作为潜在的苯*丙*酮酸结合蛋白。通过敲低这两种受体,发现只有CD36的敲低显著降低了BMDM对苯*丙*酮酸的摄取(图5 B)。RT-qPCR结果显示,****酸处理显著提高了CD36 mRNA的表达水平,但没有显著提高LRP1的表达水平(图5 C)。Western Blot分析和流式细胞术检测结果表明,****酸处理与BMDMs表面CD36受体表达上调有关,而与LRP1表达上调无关(图5 D)。通过siRNA下调CD36表达后,苯*丙*酮酸处理不再增加NLRP3的表达水平或激活炎症小体(图5 F)。此外,减少CD36表达逆转了苯*丙*酮酸引起的IL-1β、IL-18和TNFa的分泌增加(图5 G)。进一步的分子对接分析表明,苯*丙*酮酸与CD36蛋白胞外区域的结合位点位于特定的残基。总体而言,CD36在苯*丙*酮酸的摄取和促炎作用中起到关键作用。

图5. CD36介导巨噬细胞对苯*丙*酮酸的摄取
总结
在本研究之前,免疫调节代谢物在糖尿病创面过度炎症中的广泛作用尚不完全清楚。作者通过系列实验研究发现,苯*丙*酮酸介导炎性巨噬细胞在糖尿病创面的浸润,通过CD36进入巨噬细胞促进M1巨噬细胞极化,与PPT1蛋白结合增加NLRP3棕榈酰化水平导致糖尿病创面的病理炎症。这一发现为糖尿病创面愈合提供了靶向苯*丙*酮酸的潜在策略。