13 年
手机商铺
公司新闻/正文
452 人阅读发布时间:2025-06-26 11:49

文章标题:Small extracellular vesicles derived from adipose mesenchymal stem cells alleviate intestinal fibrosis by inhibiting the FAK/Akt signaling pathway via MFGE8
发表期刊:Journal of Gastroenterology
影响因子:6.9
客户单位:中山大学附属第六医院
百趣提供服务:Label free定量蛋白质组学
研究背景
肠纤维化是克罗恩病(Crohn’s disease, CD)最常见和最严重的并发症之一,越来越多的研究表明,脂肪间充质干细胞衍生的小细胞外囊泡(adipose mesenchymal stem cell-derived small extracellular vesicles, AMSC-sEVs)可以缓解肾纤维化、肝纤维化等,但其治疗肠纤维化的潜力尚不确定。因此,本研究旨在确定AMSC-sEVs对肠纤维化的治疗作用,并确定这些作用的机制。
研究结果
1.sEVs对AMSCs抗纤维化作用至关重要
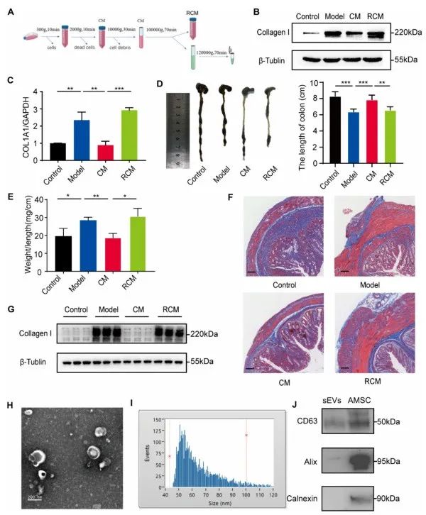
为探究sEVs是否作为AMSC抑制肠道纤维化的旁分泌介质,收集了两种不同的培养基,即条件培养基(Conditioned medium, CM)和不含sEV的条件培养基(Conditioned medium without sEVs, RCM) (图1A),然后将它们分别与肌成纤维细胞共培养48小时。CM能降低TGF-β1刺激的成纤维细胞中胶原蛋白I表达,抑制肠道纤维化,而RCM可逆转此效果,表明AMSCs通过分泌sEVs发挥抗纤维化作用(图1B-C)。此外,蛋白质印迹结果显示,用AMSC-CM处理的小鼠的胶原蛋白I表达低于模型组,但RCM逆转了这一变化(图1G)。这些结果表明AMSC-sEVs可能在体外和体内减轻肠道纤维化。使用透射电子显微镜、纳米颗粒跟踪分析和蛋白质印迹法对AMSC-sEVs进行表征,发现AMSC-sEVs呈典型形态,粒径43-100nm,符合sEV鉴定标准。

图1. AMSC-CM在体外和体内均能抑制肠纤维化
2.AMSC-sEVs抑制成纤维细胞活化
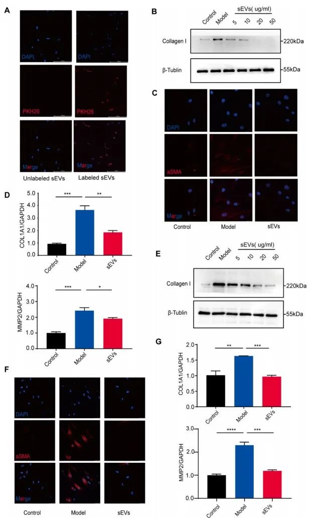
共聚焦图像显示AMSC-sEVs位于肌成纤维细胞的细胞质中,表明AMSC-sEVs可以被肌成纤维吞噬(图2A)。为了研究AMSC-sEVs对抑制肌成纤维细胞活化的影响,用TGF-β1刺激的人肠成纤维细胞(Human Intestinal Fibroblast, HIFs) 和CCD18co进行处理;与模型组相比,无论sEVs的浓度如何,AMSC-sEVs都能抑制胶原蛋白I的表达,浓度达到 20μg/ml时效果最明显(图2B-E)。因此,选择20μg/ml的AMSC-sEVs用于后续的体外实验。此外,AMSC-sEVs阻止了TGF-β1诱导的成纤维细胞向肌成纤维细胞的转化,随着这种转化的抑制,COL1A1和MMP2的表达降低(图2D-G)。

图2. AMSCs-sEVs消除了成纤维细胞向肌成纤维细胞的转变
3.AMSC-sEVs可逆转两种肠道纤维化模型中的纤维化
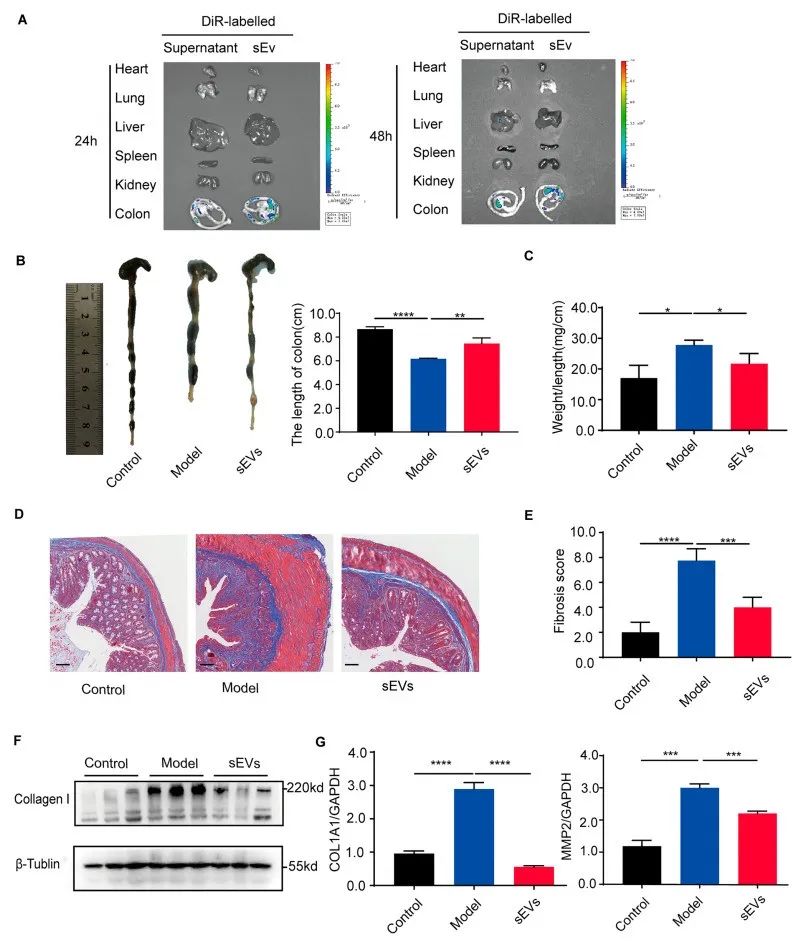
为追踪输注的AMSC-sEVs在体内的生物分布,将CM-DiR标记的AMSC-sEVs腹腔注射到2,4,6-三/硝/基/苯/磺/酸(2,4,6-trinitrobenzene sulfonic acid, TNBS)诱导的小鼠体内。在注射sEVs后24和48小时对小鼠进行体内荧光成像,并在小鼠处死后新鲜解剖并收集心脏、肝脏、脾脏、肺脏、肾脏和结肠用于后续测试,发现AMSC-sEVs主要分布在结肠(图3A)。
为了测试AMSC-sEVs的效力,我们将其(每只小鼠每天30μg,连续7天)应用于右旋糖酐钠盐(Dextran sodium salt, DSS)诱导的肠道纤维化小鼠模型中。在DSS模型中,AMSC-sEVs显著减轻了结肠缩短和重量/长度比,降低了纤维化评分(图3B-E)。通过蛋白质印迹法评估的胶原蛋白I水平以及通过RT-qPCR测量的纤维化指数(COL1A1和MMP2)在模型小鼠的结肠中在AMSC-sEV治疗后也显著降低(图3F-G)。

图3. 治疗性AMSC-sEVs应用改善了慢性DSS诱导模型中的肠纤维化
4.AMSC-sEVs的蛋白质组学分析
为鉴定AMSC-sEVs中的稳定蛋白质,使用SwissProt数据库在sEVs中鉴定出357种蛋白质,其中10种蛋白质的表达倍数变化在1.2或以下。我们关注抗纤维化相关蛋白质,并选择MFGE8、FBLN1和 Rac1进行进一步研究。此外,发现FAK和PI3K-Akt信号通路与AMSC-sEVs中蛋白质相关的信号通路最为密切相关。
5.MFGE8在体外和体内减少肠纤维化
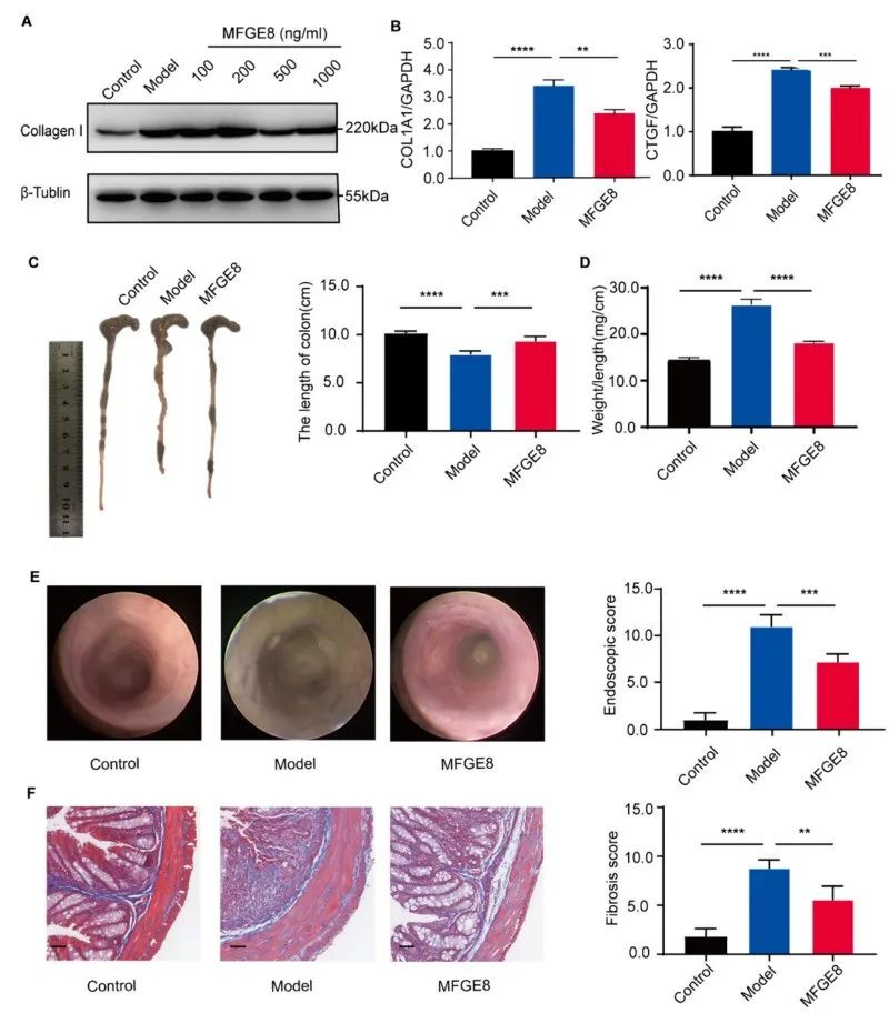
如图4A所示,MFGE8以剂量依赖的方式有效降低了TGF-β1存在下HIFs中胶原蛋白I的水平。然后使用500 ng/ml MFGE8进行后续的体外实验,证明了MFGE8可以有效降低HIFs和CCD18co中纤维化生物标志物的表达。
此外,为了探索MFGE8在体内的作用,将MFGE8腹腔注射到实验性小鼠结肠纤维化模型中,发现MFGE8给药显著减轻了肠道纤维化,表现为结肠延长和结肠重量/长度比降低(图4C-D)。与模型组相比,MFGE8显著降低了小鼠结肠的内镜和纤维化评分(图4E-F);在另一种TNBS诱导的小鼠肠道纤维化模型中,观察到MFGE8的类似作用,进一步证实了MFGE8在减轻肠道纤维化中的作用。

图4. MFGE8抑制DSS诱导的小鼠模型中成纤维细胞向肌成纤维细胞的分化,逆转终末期纤维化
6.MFGE8沉默的sEVs不能减轻肠道纤维化
为了进一步确定MFGE8是否参与AMSC-sEVs对肠道纤维化的影响,在AMSCs中敲除MFGE8。发现与AMSC-sEV siControl处理的细胞相比,胶原蛋白I蛋白产生增加(图5A-C),COL1A1和MMP2 mRNA表达增加(图5B-D)。此外,将AMSC-sEVssiMFGE8腹腔注射到DSS诱导的肠道纤维化小鼠模型中,发现与AMSC-sEV siControl相比,AMSC- sEVssiMFGE8的应用导致内镜评分和纤维化评分增加(图5F-G)。在TNBS诱导的肠道纤维化模型中重复了实验,得到了类似的结果,进一步证实了AMSC-sEVs通过MFGE8发挥抗肠道纤维化作用。

图5. AMSC-sEVs通过体内外递送MFGE8缓解肠纤维化
7.AMSC-sEVs转移的MFGE8通过抑制FAK/Akt信号通路减轻HIF的纤维化
KEGG通路分析揭示了sEV相关的FAK通路的改变,该通路参与了皮肤、肺和肾脏中的各种纤维化过程(图6A)。此外,对于HIFs,TGF-β1激活了FAK/Akt通路,增加了p-FAK和p-Akt的磷酸化。同样,在DSS诱导和TNBS诱导的肠道纤维化模型小鼠中证实了MFGE8沉默导致的FAK/Akt通路重新激活。因此,我们推测AMSC-sEV siControl通过抑制FAK/Akt信号通路来治疗肠道纤维化。

图6. AMSC-sEVs通过体内外递送MFGE8缓解肠纤维化
研究结论
本研究验证了AMSC-sEVs在体内外可减轻肠纤维化,且可能通过MFGE8抑制FAK/Akt信号通路实现,为临床治疗长纤维化提供理论依据。

图7. AMSC-sEV抗肠纤维化的可能机制