13 年
手机商铺
公司新闻/正文
496 人阅读发布时间:2025-03-26 16:43

英文标题:Sensing ceramides by CYSLTR2 and P2RY6 to aggravate atherosclerosis
中文标题:CYSLTR2和P2RY6感知神经酰胺加重动脉粥样硬化
发表期刊:nature
影响因子:50.5
客户单位:北京大学
百趣提供服务:定量脂质组学
研究背景
动脉粥样硬化(Atherosclerosis)是心血管疾病(Cardiovascular Disease,CVD)的主要病因之一,约占心血管疾病病理的60%,是心肌梗死和中风的主要原因。近年研究发现,循环神经酰胺可作为独立于胆固醇水平的心血管事件预测标志物,尤其是长链神经酰胺(如C16:0、C18:0和C24:1)。然而,神经酰胺通过跨膜受体介导信号转导驱动动脉粥样硬化进展的分子机制仍属领域内关键科学问题。
研究思路

研究摘要
本研究旨在探讨循环长链神经酰胺是否通过激活膜G蛋白偶联受体(G Protein-coupled Receptors,GPCR)来加剧动脉粥样硬化。通过结合G蛋白信号定量、GPCRs表达的生物信息学分析和NLRP 3炎性小体激活的功能检测进行了系统的筛选,结果表明CYSLTR2和P2RY6是C16:0神经酰胺诱导炎症体激活的潜在内源性受体,存在于内皮细胞和巨噬细胞中。研究发现,通过遗传或药理学手段抑制CYSLTR2/P2RY6可减轻神经酰胺诱导的动脉粥样硬化。此外,神经酰胺水平升高与不同程度肾功能损害患者的冠状动脉疾病严重程度呈正相关。本研究不仅揭示了神经酰胺诱导CYSLTR2激活以及CYSLTR2-Gq界面的非常规机制,而且提供了长链神经酰胺通过直接结合CYSLTR2和P2RY6受体启动跨膜Gq和炎症体信号传导的结构和分子机制,阻断这些信号传导可能为治疗动脉粥样硬化相关疾病提供新的治疗潜力。
主要结果
1、神经酰胺受体的鉴定
该研究首先建立小鼠动脉粥样硬化模型,发现外源性C16:0神经酰胺显著增加AAV-PCSK9+HFD处理的野生型小鼠的动脉粥样硬化。这种作用通过caspase-1敲除、IL-1β中和抗体或IL-1受体拮抗剂减弱。体外实验表明,C16:0神经酰胺以浓度依赖性方式显著上调内皮细胞和巨噬细胞中IL-1β的产生。然后,作者探讨了神经酰胺是否可以通过GPCRs激活NLRP3炎症小体。结果发现,膜受体偶联Gq可能介导神经酰胺诱导的炎症小体激活。抑制Gq信号传导则阻断C16:0神经酰胺诱导的钙增加和IL-1β产生。类似地,C16:0神经酰胺迅速诱导细胞内钙增加,而这被Gq抑制剂抑制。综上,C16:0神经酰胺可能激活内皮细胞和巨噬细胞中的Gq偶联GPCRs。

图1.神经酰胺通过CYSLTR2和P2RY6激活炎性小体
2、神经酰胺体内激活CYSLTR2和P2RY6
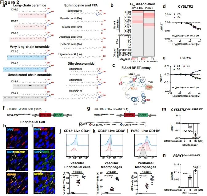
本研究采用生物信息学方法鉴定C16:0神经酰胺受体。从GproteinDb数据库检索122个Gq偶联GPCRs,筛选出59个在内皮细胞和巨噬细胞中共同表达的GPCRs。通过Gαq-Gβγ解离测定,发现C16:0神经酰胺激活P2RY6和CYSLTR2的Gq信号传导。进一步实验表明,C16:0神经酰胺通过结合CYSLTR2和P2RY6激活Gq和下游炎症小体信号(图2)。

图2.神经胺在体内激活CYSLTR2和P2RY6
3、神经酰胺-CYSLTR2/P2RY6在动脉粥样硬化中的作用
该研究继续探讨了CYSLTR2和P2RY6是否介导神经酰胺加重动脉粥样硬化。通过基因敲除和药理学抑制CYSLTR2或P2RY6,发现其显著减轻高脂饮食或CKD加重的动脉粥样硬化,且不影响胆固醇或神经酰胺水平。这就说明CYSLTR2和P2RY6共同介导神经酰胺诱导的动脉粥样硬化(图3)。

图3. CYSLTR2/P2RY6敲除加剧神经胺加重的动脉粥样硬化
4、CYSLTR2和P2RY6在CKD-动脉粥样硬化中的作用
过往研究发现慢性肾病(CKD)患者心血管事件发生率显著增加,但现有降脂策略效果有限。本研究构建CKD小鼠模型,发现CKD小鼠血浆中神经酰胺水平升高。与预期一致,CAD患者中G3-G5期CKD患者神经酰胺水平升高且与CAD严重程度正相关。CYSLTR2和P2RY6基因敲除或药理学抑制显著减轻CKD小鼠动脉粥样硬化斑块形成,提示神经酰胺可作为CKD患者ASCVD的潜在诊断标志,靶向CYSLTR2和P2RY6的拮抗剂可能减少CKD患者心血管事件(图4)。

图4.神经酰胺通过CYSLTR2和P2RY6促进CKD加重的动脉粥样硬化
5、神经酰胺-CYSLTR2-Gq复合物的结构
运用单颗粒冷冻电镜(cryo-EM)解析了神经酰胺与 CYSLTR2 结合的结构机制,通过对 C16:0 和 C20:0 神经酰胺 - CYSLTR2 - Gq 复合物体外重构、纯化及成像,获得分辨率分别为 2.7Å 和 2.8Å 的冷冻电镜图。发现神经酰胺结合在CYSLTR2的一个倾斜通道状配体结合口袋中,该口袋分为保守的鞘氨醇链结合通道(SCBC)和可容纳不同脂肪酸链长度的脂肪酸链结合口袋(FABP)。这一结构基础揭示了CYSLTR2如何特异性识别不同类型的神经酰胺(图5)。

图5.神经胺-CYSLTR2-Gq的Cryo-EM结构
研究小结
本研究聚焦于循环神经酰胺在动脉粥样硬化中的作用机制,研究发现,神经酰胺通过直接结合CYSLTR2和P2RY6激活Gq信号传导和炎症体途径,从而加剧动脉粥样硬化。抑制这两个受体可显著减轻动脉粥样硬化,并且在慢性肾病患者中,血浆神经酰胺水平升高与冠状动脉疾病严重程度正相关,靶向该通路能改善CKD加重的动脉粥样硬化。通过冷冻电镜解析的神经酰胺-CYSLTR2-Gq复合物结构,揭示了受体识别神经酰胺亚型的机制。这一具有开拓性的发现,为医学界长期面临的棘手难题—脂质残余风险,开辟了全新的研究方向。可以预见,以神经酰胺受体作为干预靶点,有望在未来成为攻克动脉粥样硬化这一顽疾的关键策略,为患者带来新的希望。